Corticotomías

(3 valoraciones de clientes)

El precio varía 30 minutos

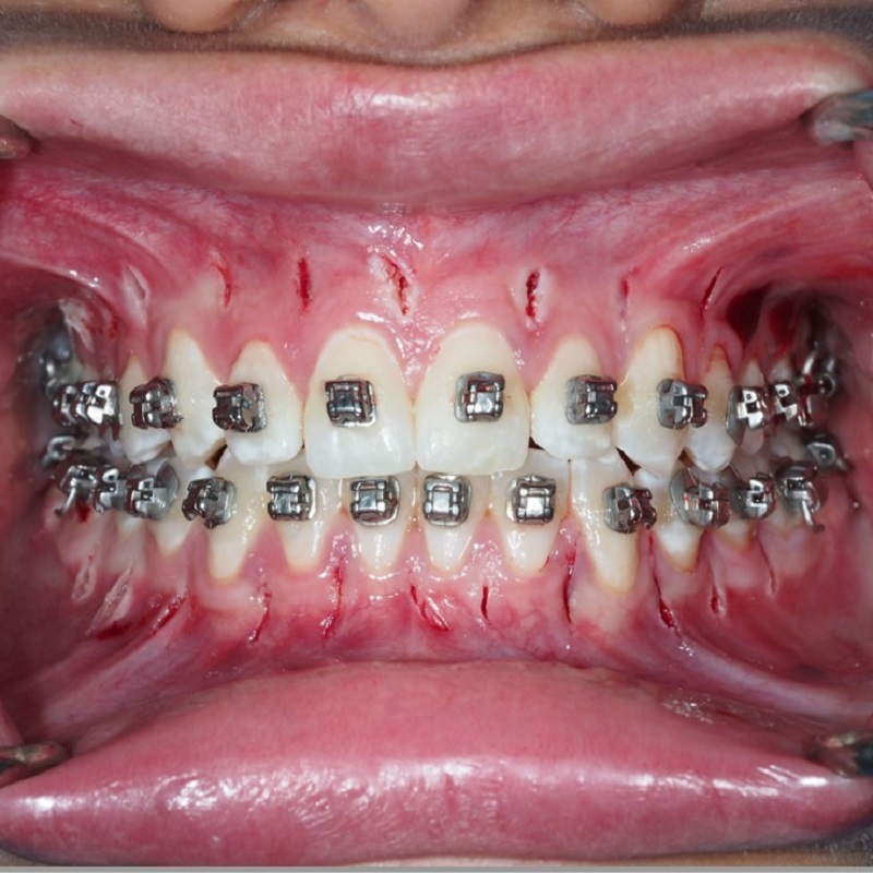
Las corticotomias consisten en realizar cortes en el hueso cortical para acelerar el movimiento de los dientes hasta en un 40%, es un recurso utilizado por los ortodoncistas para reducir el tiempo de tratamiento.

This product can only be purchased by members.
  Consultar   Chat Now

Descripción

  • Aplicación de anestesia local
  • Cortes selectivos en hueso cortical

3 valoraciones en Corticotomías

5,0
Basado en 3 reseñas.
5 estrellas
100
100%
4 estrellas
0%
3 estrellas
0%
2 estrellas
0%
1 estrella
0%
1-3 of 3 reseñas
  1. Good service.

  2. Good service.

  3. Good quality.

Añadir una reseña
Debes acceder para publicar una reseña Acceso

FAQs

¿Cuáles son las ventajas de las corticotomías?

Es un tratamiento poco invasivo y sencilla de llevar a cabo; permite un mayor rango de movimiento dental; disminuye la recidiva de mal posición después del tratamiento; compatible con los diferentes tipos de ortodoncia.

¿En qué consite una corticotomía?

Es una técnica quirúrgica en la que después de colocar anestesia, se realizan pequeños cortes en la cortical (parte más externa del hueso), con lo que provocamos un estímulo biológico de desmineralización y remineralización del hueso, lo que nos permite mover los dientes con mayor rapidez.

¿Para qué se realiza una corticotomía?

Se usa en combinación con la ortodoncia para disminuir el tiempo del tratamiento al menos en un 40%, ya que ayuda a acelerar los movimientos de los dientes.

Tienda
Precio
Detalles

Consultas generales

Aún no hay consultas.