Cobertura Radicular / Regeneración Dermis xCuadrante

(3 valoraciones de clientes)

Precio varía 60 minutos

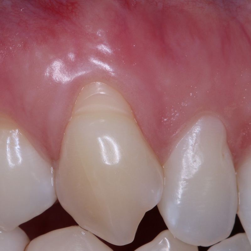
La recesión gingival es la exposición de la superficie radicular causando hipersensibilidad, caries radicular y problemas estéticos. Mediante la cirugía de cobertura radicular se vuelve a cubrir la raíz desnuda de los dientes.

Want a discount? Become a member!
This product can only be purchased by members.
  Consultar   Chat Now

Descripción

  • Aplicación de anestesia local
  • Levantamiento de colgajo
  • Raspado y alisado de raíces dentales
  • Desintoxicación de raíces con Prefgel
  • Colocación y fijación de dermis Mucoderm
  • Desplazado y sutura de tejido gingival

3 valoraciones en Cobertura Radicular / Regeneración Dermis xCuadrante

5,0
Basado en 3 reseñas.
5 estrellas
100
100%
4 estrellas
0%
3 estrellas
0%
2 estrellas
0%
1 estrella
0%
1-3 of 3 reseñas
  1. Good service.

  2. Good service.

  3. Very fast delivery.

Añadir una reseña
Debes acceder para publicar una reseña Acceso
Tienda
Precio
Detalles
0 de 5
Precio varía con la cantidad 60 minutos

Consultas generales

Aún no hay consultas.